Dental x-rays are a routine procedure. However, when your dentist leaves the room before taking them, you may find yourself wondering if x-rays are safe.
To dispel any myths or fears about the procedure, we’re taking a closer look.
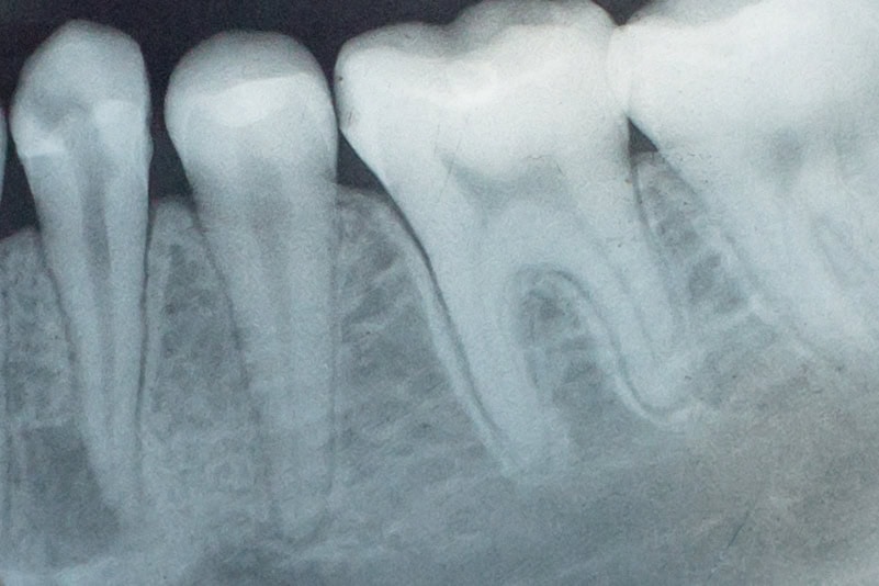
What does a dental x-ray do?
Dental x-rays are a diagnostic procedure that can help to reveal problems that may be invisible to the naked eye. For example, pockets of decay between teeth, bone loss that may be linked to gum disease, abscesses at the root of the tooth and changes in the root canal can all show up on an x-ray.
The reason some people may have questioned the safety of x-rays is because a very small amount of radiation is involved. However, the amount of radiation is minimal – about the same amount you would be exposed to in the course of a normal day from sources such as household appliances, minerals in the ground and the sun.
A dental x-ray can reveal problems that aren’t visible to the naked eye.When do you need a dental x-ray?
If you have a lot of dental health problems, or are at a high risk of cavities, you may need x-rays more often than others.
People in the high-risk category can include:
- Children, who typically need more x-rays than adults as their teeth and jaws are still developing.
- Adults with extensive restorative work as decay can occur between or around existing fillings.
- Smokers.
- People who consume a lot of soft drinks.
If you’re concerned about an x-ray being taken, the best thing to do is talk to your dentist to find out how often they are necessary for your individual needs.
Children may need more dental x-rays than adults as their teeth and jaws are still developing.So, the big question: Are dental x-rays safe?
When x-rays are performed properly, and all the proper precautions are taken, there’s no reason to be concerned. Modern x-rays machines have come a long way, and technology such as higher-speed x-ray films and new digital x-ray machines help to keep people safer than ever during the procedure.
When you come to see us at City Dentists, you can be confident that we always have your safety and health as our first priority. All of our dental x-rays and other procedures are carried out by experts with years of experience, so you’ll have even more reasons to smile!
