
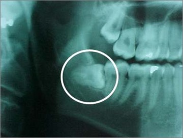
Do I need to have my wisdom tooth removed and why?
The basic problem is a lack of space. We have too many teeth to fit into our small jaws. Problematic wisdom teeth may emerge into the mouth but part of them remain covered under the gum or jaw bone.
A wisdom tooth is removed to correct an actual problem or to prevent future problems. When wisdom teeth come in, a number of problems can occur:
- Infection - Your wisdom teeth may break partway through your gums, causing a flap of gum tissue to grow over them. Food and bacteria can become trapped under the flap and cause your gums to become red, swollen, and painful. These are signs of infection. Please note that infection is the only problem that would give you mild discomfort or pain once or twice a year, all the other problems below develop silently and by the time symptoms occur the problem is too advanced with more complex treatment.
- Decay - Wisdom teeth can be very difficult to clean, and therefore often get decayed. It is usually not possible to repair such teeth that is because they are so inaccessible at the very back of the mouth and will continue to decay around any repair.
- Damage to other neighbouring teeth and bone.
- Tooth crowding.
- The development of a cyst.
- Tumours - Is uncommon, but does occur in 1% of impacted wisdom teeth.
- Jaw fracture.
That is why dentists get worried about wisdom teeth and suggest to patients having them removed. Be wise and get your wisdom teeth checked early.

How are wisdom teeth removed?
Many people have their wisdom teeth removed under local anaesthesia by a general dentist or oral surgeon. This means that they are awake, but the area around the wisdom tooth is completely numb. Sedative drugs can be given with local anaesthesia to help people relax during the procedure. For our patients who need that extra help to relax, we offer intravenous conscious sedation (Sedation Dentistry).
The operation will not start until the anaesthetic has taken effect. It is often necessary to make a small cut in the gum over the wisdom tooth, and to remove some bone so that the tooth can be lifted out. Stitches are usually put in to help the gum heal.
Some people have their wisdom teeth removed under general anaesthesia. This means that they are asleep throughout the procedure. This has to be done in hospital, but it's almost always carried out as a day case, requiring no overnight stay.
If you have any infections, surgery will usually be delayed until the infection has cleared up. Your dentist may prescribe you antibiotics to help heal the infection.
check out our latest post … What exactly are wisdom teeth, and why is their removal sometimes necessary?
Want to check out your wisdom teeth?
You probably have questions. We can answer them and based on an analysis of your wisdom teeth tell you if you need to have them out or not and what is the best way that is right for you. Call us now 04 978 4964 to book your wisdom teeth consultation.




